這篇文章旨在解釋間充質干細胞如何具有治療腎臟疾病的能力。腎臟疾病的干細胞療法為治療慢性腎衰竭提供了一種革命性的方法。
這種創新治療方法有可能顯著改善患者的生活質量并降低心血管并發癥的風險。探索這種尖端療法如何為終末期腎病患者帶來新的希望和更好的治療結果。
腎衰竭的干細胞療法:全面概述 (2024)

干細胞治療腎病
終末期腎病 (ESKD) 是慢性腎衰竭的嚴重和最后階段,它極大地降低了生活質量并經常導致心血管死亡。透析和腎移植等傳統治療方案雖然可以維持生命,但也存在重大限制和挑戰,包括捐贈者短缺、免疫排斥和終身免疫抑制的負擔。
干細胞療法已成為一種有前途的替代療法,有可能改變腎衰竭患者的治療前景。下面詳細介紹一下干細胞療法的益處:
干細胞治療腎臟疾病的機制
干細胞,特別是間充質干細胞 (MSC),具有獨特的再生能力。它們可以分化成各種細胞類型,包括腎細胞,并具有免疫調節和抗炎特性。這使它們成為修復和再生受損腎臟組織的理想選擇。
- 腎細胞再生:干細胞可以分化為腎小管細胞、足細胞和其他腎臟特異性細胞,有助于修復和再生受損的腎元。
- 抗炎作用:干細胞分泌生物活性分子,可減少炎癥,而炎癥是腎臟疾病進展的重要因素。
- 免疫調節:MSCs可以調節免疫系統,降低免疫介導的腎臟損害的風險。
- 旁分泌作用:干細胞釋放生長因子和細胞因子,促進組織修復并間接改善腎功能。
臨床應用與研究
多項臨床試驗和臨床前研究證明了干細胞療法在治療腎臟疾病方面的潛力:
急性腎損傷 (AKI):MSCs通過增強組織修復和減少炎癥,已顯示出改善AKI模型中腎功能和存活率的前景。
干細胞治療急性腎損傷的臨床案例
2021年9月13日,日本湘南鐮倉綜合醫院研究團隊在《干細胞轉化醫學》上發表文章,分享了利用自體干細胞移植成功治療急性腎損傷患者的經驗。干細胞移植后腎功能得到長期改善,主要表現為血清肌酐水平的改善。該案例初步證實干細胞療法治療急性腎損傷安全有效。

研究團隊選取了一名36歲男性患者的嚴重急性腎損傷(AKI),他被診斷為難治性高血壓、視網膜,心臟和腦損害,以及嚴重的腎功能不全。經血液透析后血肌酐水平仍然很高,因此接受了干細胞治療。

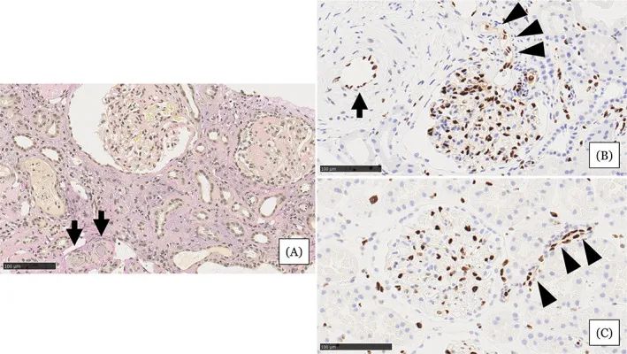
圖注:在住院第31天進行的腎活檢結果。A,顯示小動脈被粘液性內膜增厚(箭頭)堵塞,腎小球萎縮,毛細血管壁起皺,嚴重的間質單核細胞浸潤伴腎小管損傷。B,EC細胞核的缺乏在小動脈(箭頭)中很突出。在相鄰的小動脈(箭頭)中注意到不同大小的不規則細胞核。C,EC的等距核在血壓正常的腎臟供體的腎臟小動脈中形成有序的線。比例尺 =100μm
研究人員從患者身上收集干細胞后,并將其直接注入雙側腎動脈。細胞移植后除了出現一過性發熱和血小板增多外,未出現任何重大不良事件。細胞移植后23周,他的血清肌酐水平顯著改善(提高至2.96mg/dL),此外僅用60mg硝苯地平和20mg奧美沙坦便可以很好地控制之前難以控制的頑固性高血壓。
這項醫學實驗初步證實了干細胞療法對于治療急性腎損傷是安全有效的。
慢性腎病 (CKD):干細胞療法已被用于減緩CKD的進展并改善腎功能。研究表明,MSC有助于穩定腎功能并減少纖維化。
腎移植:在腎移植方案中加入干細胞療法可以潛在地降低急性排斥的發生率并提高長期移植物存活率。
挑戰與未來方向
雖然干細胞治療具有巨大的潛力,但仍存在一些挑戰:
- 細胞來源和質量:確定干細胞的最佳來源并確保其質量和一致性對于治療用途至關重要。
- 遞送方法:開發將干細胞遞送至腎臟的有效且安全的方法對于最大化治療效益至關重要。
- 安全性和有效性:需要進行長期安全性和有效性研究,以解決潛在風險,例如致瘤性和不良免疫反應。
- 監管和道德問題:干細胞治療涉及復雜的監管和道德考慮,需要解決這些問題才能促進廣泛的臨床應用。
?無需透析的腎衰竭治療
腎衰竭或終末期腎病 (ESRD) 需要有效的管理策略。雖然透析很常見,但也有幾種替代方案:
- 腎移植:提供長期解決方案,但受供體可用性和患者健康狀況的限制。有關此內容的更多信息,請參閱一項研究。
- 無需透析的支持性治療:這種方法通過藥物治療血壓、貧血、電解質平衡、飲食變化和生活方式改變來治療癥狀和并發癥。更多詳情請見此處。
- 間充質干細胞療法:這種新療法可能能夠改善器官功能,從而延緩或減緩疾病進展。
新興治療方法也在研究中。例如,甲基巴多索隆在改善腎功能方面表現出了良好的前景,以 eGFR 為衡量標準。然而,這種藥物目前正在進行臨床試驗,尚未廣泛使用。更多信息可以在這項臨床研究中找到。
腎衰竭的治療選擇取決于整體健康狀況、疾病嚴重程度和個人喜好,因此與醫療保健提供者的討論對于了解每種選擇的益處和風險至關重要。
腎衰竭的原因
腎衰竭可能是由各種情況引起的,這些情況會隨著時間的推移給腎臟帶來壓力。最常見的兩個原因是糖尿病和高血壓。
其他疾病,如心臟病、肝病和某些泌尿道感染,也會導致腎衰竭。
腎衰竭的癥狀
腎衰竭的癥狀嚴重程度各不相同,包括疲勞、尿頻、惡心和呼吸急促,隨著病情惡化,癥狀會更加嚴重,如胸痛、癲癇發作和尿量減少。關鍵方面包括:
- 腎臟健康標志:尿白蛋白肌酐比率 (UACR) 至關重要,較高的比率表示潛在的泌尿道感染或嚴重的腎臟損傷。
- 免疫系統疾病:腎病患者經常面臨免疫系統疾病,增加因心力衰竭或腎死亡而住院的風險。
在治療方面,醫生可能會開出 SGLT2 抑制劑來幫助降低血糖水平并降低心血管死亡風險。然而,這些藥物可能有副作用,并且并非對每個人都有效,這凸顯了對新的、更有效的腎病治療方法的需求。
腎病有治愈方法嗎?
目前,腎臟疾病尚無確切的治愈方法。治療的目的主要是減緩疾病的進展并控制癥狀,以改善生活質量。
治療腎臟疾病的關鍵方面包括控制血壓和控制可能導致腎臟功能衰退的其他疾病,如糖尿病和心血管疾病。血管緊張素受體阻滯劑等藥物可以降低血壓并保護腎臟。
值得注意的是,治療腎病的主要目的不僅是延長壽命,還要提高患者的生活質量。這包括增加紅細胞的生成,以預防貧血,貧血是腎病的一種常見并發癥,會導致疲勞和虛弱。
目前正在研究尋找更有效的腎病治療方法。例如,正在進行安慰劑對照臨床試驗來測試新藥物和療法。保持健康的生活方式,包括均衡飲食和定期鍛煉,對維持整體腎臟健康也至關重要。
雖然腎臟疾病是可以控制的,但它很復雜,類似于難以治療的癌癥和阿爾茨海默氏癥等神經退行性疾病。腎臟錯綜復??雜的血管網絡和器官的多功能性使其成為一種難以治療的疾病。
個體患者的經歷可能有很大差異,因此與醫療保健提供者進行公開、持續的對話以了解治療腎臟疾病的最佳治療方法至關重要。
腎衰竭的傳統治療方法
腎衰竭的傳統治療包括透析或腎移植。
透析
透析是一種模擬健康腎臟功能的治療方法。當腎臟不再能清除血液中的廢物和多余液體時,透析可以清除血液中的廢物和多余液體。然而,透析并不能治愈疾病,而且可能帶來感染和血栓等風險。
腎移植
腎臟移植是指通過手術將捐獻者的健康腎臟移植到腎衰竭患者體內。雖然移植比透析能提供更好的生活質量,但也存在風險,并且需要終生服藥以防止新腎臟產生排斥反應。
干細胞療法的出現
干細胞療法是一種在醫學界引起轟動的創新治療選擇。它在治療多種疾病方面表現出良好的前景,包括腎衰竭。
什么是干細胞療法?
干細胞療法涉及使用干細胞修復或替換受損的細胞和組織。干細胞具有獨特的能力,可以發育成體內許多不同類型的細胞,包括腎細胞。詳細了解不同類型的干細胞及其功能。
干細胞如何治療腎臟疾病?
在腎臟疾病中,干細胞療法旨在通過調節免疫系統來減少炎癥,另外促進細胞用新的細胞替換受損的腎細胞,幫助恢復腎臟的過濾功能。
這種創新方法可以為腎臟疾病提供潛在的治療方法,特別是對于那些不適合進行腎臟移植的人。

腎臟疾病的干細胞治療
間充質干細胞療法 (MSC) 為腎臟疾病提供了一種有希望的解決方案,大量研究支持其在該領域的潛力。MSC是多能細胞,可從各種組織中獲取,用于腎臟疾病治療時,與透析相比,可顯著改善與健康相關的生活質量。MSC可通過多種途徑輸送至腎臟,使其成為一種多功能治療選擇。
在終末期腎病 (ESRD) 患者的腎移植中,MSC療法已顯示出提高存活率和改善術后結果的潛力。一項將 MSC 與免疫抑制藥物一起靜脈輸注到ESRD患者的研究證明了其安全性和可行性。
從根本上講,基于MSC的療法有可能徹底改變腎臟疾病及其相關并發癥的治療。正在進行的研究和臨床試驗繼續探索利用MSC的效力和再生能力的最佳方法,從而為改善腎臟疾病患者的生活鋪平道路。
干細胞如何幫助治療腎臟疾病?
MSCs 是一種定義明確且易于獲取的細胞群,具有良好的治療特性,許多腎臟疾病的實驗模型都證明了這一點。這些細胞主要通過免疫調節和旁分泌作用發揮作用,人們已經進行了各種臨床試驗,以了解它們在治療腎臟疾病方面的安全性、可行性和有效性。
然而,長期隨訪數據和就治療方案達成共識方面仍然存在挑戰,包括MSC制備、供體標準和腎移植接受者的免疫抑制治療。需要進一步研究以確定臨床實踐中實現最佳協調的方法。通過預處理或基因改造有可能增強MSC的先天修復能力,這可能會為治療領域開辟新的途徑。
干細胞治療腎衰竭的療效
使用干細胞治療腎衰竭仍處于探索階段,但早期臨床試驗結果令人鼓舞。
臨床試驗及其結果
臨床試驗表明,干細胞可以再生腎臟組織并改善動物腎臟功能。然而,還需要更多的研究來了解如何將這些發現應用于人類。
真實案例
雖然大規模、隨機、安慰劑對照的臨床試驗是證明治療效果的黃金標準,但許多個案表明干細胞療法效果良好。例如,有報道稱腎病患者在接受干細胞治療后病情有所改善。
干細胞治療腎衰竭的未來
隨著我們的進步,干細胞療法在治療各種疾病(包括腎衰竭)方面顯示出巨大的潛力。在這里,我們將探討這種創新療法的未來可能發展方向。
干細胞研究進展
正在進行科學研究以提高干細胞治療腎衰竭的有效性。這包括了解如何最好地采集、培養和植入干細胞以造福腎病患者。基因醫學和創新臨床試驗的最新進展為更有效、更安全的干細胞治療鋪平了道路。
克服挑戰
雖然干細胞療法前景廣闊,但必須克服重大挑戰。這包括監管障礙、倫理考量以及確保治療安全有效。
隨著我們繼續深入了解干細胞及其潛在應用,我們可以期待看到這些領域取得進展。
干細胞療法如何改變腎衰竭治療
如果干細胞療法被證明能夠成功治療腎衰竭,它可能會徹底改變腎臟病學領域。
減少透析和移植的需求
干細胞療法最顯著的潛在益處之一是它可以減少透析和腎移植的需求。這可以顯著改善腎病患者的生活質量。
滿足未滿足的醫療需求
腎衰竭是影響全球數百萬人的重大健康挑戰。需要新的治療方法來減緩疾病進展并改善患者的生活質量。干細胞療法可以幫助滿足這一未得到滿足的醫療需求。
支持腎臟健康的天然方法
除了藥物治療外,還有一些自然的方法可以維持腎臟健康并潛在地減緩腎臟疾病的進展。
飲食變化
低鈉、低鉀、低磷飲食有助于腎臟更長時間保持健康。控制血糖和血壓水平也至關重要。
草藥療法
一些草藥,如黃芪和蒲公英,可能有助于改善腎功能。在開始任何草藥治療之前,請務必咨詢醫生。
腎臟清潔茶
某些茶,如蕁麻茶和繡球花茶,被認為可以凈化腎臟并促進腎臟健康。然而,需要更多的研究來證實這些益處。
干細胞腎臟修復
每年有超過66萬美國人患有腎衰竭,導致大量死亡和醫療費用。要點包括:
- 患病率和影響:該病每年導致約47,000人死亡,患者通常需要每周進行昂貴的透析,平均每年花費 80,000 美元。
- 腎臟功能和損傷:健康的腎臟可以過濾廢物和液體,但各種情況造成的損傷會導致液體和廢物的積聚,從而引起不良反應。
- 再生限制和治療:雖然腎臟具有一定的再生能力,但嚴重的損傷往往導致對透析的依賴和器官移植的需要。
- 常見原因:腎衰竭的一個重要原因是糖尿病,占所有病例的近一半。
干細胞科學的進步顯示出治療腎衰竭的潛力,為更有效、更少侵入性的治療方案帶來了希望。
干細胞如何幫助治療腎臟疾病?
干細胞療法具有很強的抗炎作用,可將體內慢性炎癥水平降低到允許愈合的水平(否則會受到抑制)。就腎臟疾病而言,全身的炎癥水平都會很高。
通過將炎癥標志物降低至正常水平,身體可以開始再生正常功能所需的組織。
干細胞可以治愈腎臟疾病嗎?
腎臟疾病的研究和治療都具有挑戰性,因為腎臟是非常復雜的器官,在體內發揮著重要的過濾功能。目前,只有一般的系統性干細胞療法可以解決這些問題,因為科學家尚未分離出負責腎臟修復的特定細胞。
干細胞療法的合理結果是炎癥標志物與治療前相比明顯減少,腎功能略有改善。這可能不足以讓患者在接受一次治療后不再需要透析,但希望能夠減少透析頻率。
?干細胞治療腎病的費用
截至2024年1月1日,干細胞治療腎病費用為27,500美元。此價格包括3億個臍帶間充質干細胞 (UC-MSC) 的治療。
該療法符合cGMP質量標準,確保干細胞的活力和真實性。此外,這些干細胞經過鑒定并在美國制造,符合 AATB認證的臍帶組織標準。
費用包括綜合套餐,包括禮賓入職和個性化跟進。但需要注意的是,治療所在地開曼群島的旅行和住宿費用不包含在價格內。
結論
從腎活檢到腎衰竭的過程涉及腎功能的持續下降。傳統的治療方法包括抗高血壓藥物、血管緊張素轉換酶抑制劑和血管緊張素 II 受體阻滯劑。當腎功能惡化時,透析往往是必要的。心血管健康是腎衰竭的主要問題,心血管死亡風險增加,阿爾茨海默氏癥等其他疾病加重。
干細胞療法是一種很有前景的替代療法,臨床試驗顯示,干細胞療法可以顯著改善腎功能,包括提高 eGFR。干細胞療法還可能降低血壓、改善血糖控制并促進紅細胞生成,這對貧血或糖尿病患者有益。
除了腎臟健康,干細胞療法還可以幫助治療一系列疾病,從癌癥到呼吸系統疾病和肥胖癥。然而,其有效性因人而異,并不是一個通用的解決方案。
展望未來,干細胞療法有望改善腎衰竭患者的生活質量,標志著醫學科學的新時代。隨著我們即將迎來又一個腎臟周,干細胞療法的未來一片光明,為腎臟疾病提供了新的理解和治療途徑。
常見問題
腎臟可以再生嗎?
腎臟的再生能力有限,具體情況因細胞類型和損傷程度而異。以下是關鍵點:
- 腎小球再生:以前認為不可能,但研究表明,腎小球在某些條件下可以愈合,但由于足細胞結構復雜,其再生仍然具有挑戰性。發現可以發育成足細胞的腎祖細胞 (RPC) 為腎小球修復帶來了新的希望,盡管它受到蛋白尿等疾病的阻礙。
- 腎小管再生:腎小管對物質的再吸收至關重要,在受傷后可以快速再生。這個過程涉及存活細胞進行去分化和腎小管上皮的補充,可能由各種類型的干細胞協助。
這種再生是一個受多種因素調控的復雜過程,需要進一步研究才能充分了解并潛在地提高其能力。
第五期腎病可以逆轉嗎?
第5期慢性腎病 (CKD) 或終末期腎病 (ESKD) 是 CKD 的最后階段,此時腎功能嚴重受損。治療通常需要透析或腎移植才能存活。要點包括:
- 并發癥管理:某些癥狀和并發癥可以得到控制或逆轉。例如,一項研究發現,甲狀旁腺切除術可以改善心率變異性,這是5期CKD患者患心血管疾病的風險因素。另一項研究表明,高容量血液透析濾過(一種透析類型)也可以降低心血管死亡率。
- 不可逆損傷:CKD5期患者的血管損傷或鈣化目前是不可逆的。由于缺乏廣泛的研究,口服抗凝劑在這些患者中的使用受到限制,如本文所述。
雖然5期CKD的一些癥狀和并發癥可以控制,但無法逆轉疾病。透析或腎移植仍然是主要治療方法。
透析后腎臟可以再生嗎?
急性腎損傷后腎臟可以再生,但導致透析的慢性腎病通常是不可逆的。要點包括:
- 透析功能:透析取代了腎臟的一些功能,如廢物清除,但不能治愈或逆轉腎臟損傷。
- 干細胞研究:目前正在研究使用干細胞阻止CKD進展為ESRD,旨在恢復腎細胞活力。這仍處于實驗階段,并非標準治療方法,詳情請見此處。
對于ESRD患者,主要治療方法是透析或移植。由于器官供應有限,研究正在探索人工腎臟等替代方案,盡管這些方案尚未廣泛使用。
雖然腎臟可以從急性損傷中再生,但慢性腎病(尤其是需要透析的階段)通常是不可逆的。目前的治療方法可以控制這種疾病,干細胞治療和人工腎臟等新療法正在研究中。
干細胞療法治療慢性腎病有效嗎?
CKD的干細胞療法,尤其是利用間充質干細胞 (MSC),是治療慢性腎病 (CKD) 的有前途的潛在療法,能夠改善腎功能。然而,MSC的壓力等挑戰可能會阻礙其療效,研究表明,吡格列酮等藥物可能會保護MSC并增強治療效果。
雖然人們正在探索糖尿病腎病等CKD相關疾病的干細胞治療方法,但其確切機制、有效性和安全性需要更多的研究和對個體患者的因素的考慮。
?干細胞療法可以治愈腎衰竭嗎?
利用干細胞治療腎衰竭仍處于實驗階段,但早期臨床試驗結果令人鼓舞。
治療腎衰竭最有效的方法是什么?
治療腎衰竭最有效的方法是透析和腎移植。然而,干細胞療法可能提供一種新的、可能更有效的治療選擇。
腎衰竭后腎功能還能恢復嗎?
這取決于損傷程度。有時,改變生活方式和藥物治療可以幫助恢復腎功能。干細胞療法可能有助于再生腎臟組織并改善腎功能。
第四期腎臟損傷可以逆轉嗎?
4期腎病非常嚴重,通常無法完全逆轉。不過,治療可以幫助減緩病情進展并控制癥狀。
不進行透析,腎功能能改善嗎?
是的,在某些情況下,腎功能可以通過藥物治療和生活方式的改變得到改善。但在嚴重的情況下,可能需要透析來幫助腎臟過濾體內的廢物。
參考資料:
(1) Peired, A. J., Sisti, A., & Romagnani, P. (2016). Mesenchymal stem cell-based therapy for kidney disease: A review of clinical evidence. Stem Cells International, 2016, Article ID 4798639. https://doi.org/10.1155/2016/4798639
(2) Chung BH. Use of mesenchymal stem cells for chronic kidney disease. Kidney Res Clin Pract. 2019 Jun 30;38(2):131-134. doi: 10.23876/j.krcp.19.051. PMID: 31189218; PMCID: PMC6577207.
免責說明:本文僅用于傳播科普知識,分享行業觀點,不構成任何臨床診斷建議!杭吉干細胞所發布的信息不能替代醫生或藥劑師的專業建議。如有版權等疑問,請隨時聯系我。
掃碼添加官方微信