什么是肌肉萎縮癥?
肌營養不良癥是一組影響骨骼肌,通常也影響心肌的遺傳病。癥狀包括肌肉無力和進行性肌肉萎縮。杜興氏肌營養不良癥 (DMD) 是該疾病中最常見且非常嚴重的一種。它是由一種遺傳缺陷引起的,這種缺陷會阻止一種叫做抗肌萎縮蛋白的蛋白質的產生。沒有抗肌萎縮蛋白,肌肉就會變得脆弱并且容易受損。隨著時間的推移,如此多的損傷累積到身體無法修復它和肌肉萎縮,導致患者進行性殘疾。

肌肉損傷通常如何修復?
肌肉的大部分由肌纖維束形成,長細胞含有許多細胞核;但肌肉也含有許多其他類型的細胞,包括干細胞。干細胞是人體內置修復系統的一部分。它們可以產生祖細胞,也可以復制自己。骨骼肌含有一種稱為衛星細胞的干細胞。當肌肉纖維受損時,它們會向衛星細胞發送化學信號,告訴它們形成新的肌肉纖維或與現有纖維融合以修復損傷。同時,一些衛星細胞會自我復制,以確保有足夠的干細胞可用于在未來繼續修復和更換肌肉纖維。
為什么肌肉在肌肉萎縮癥中不能自我修復?
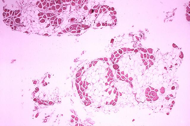
科學家認為,由于肌肉在DMD中不斷受損,衛星細胞的修復負擔如此之大,以至于它們變得精疲力盡,失去了自我復制的能力。衛星細胞對肌肉修復至關重要,因此隨著這些細胞數量的減少,肌肉的自我修復能力會越來越差。相反,受損的肌肉纖維會被脂肪細胞和疤痕組織所取代,從而削弱肌肉,直到它無法再有效地工作。

肌肉萎縮癥目前如何治療?
目前尚無根治DMD的方法。治療旨在增強患者的肌肉并減輕疾病的某些癥狀。類固醇通常用于減緩肌肉萎縮,但它們有許多副作用,包括導致骨質疏松癥、高血壓和生長遲緩的骨骼衰弱。物理治療可能部分有助于保持肌肉力量和靈活性。研究人員希望,在未來,他們可能能夠使用不同的策略修復或替換受損的肌肉纖維,包括移植產生抗肌萎縮蛋白的細胞以恢復或至少保持肌肉功能。
干細胞療法如何對肌肉萎縮癥提供幫助?
科學家認為有許多不同類型的干細胞可以以不同的方式用于開發肌肉萎縮癥的治療方法。目前正在研究的主要基于干細胞的方法是:
產生健康的肌肉纖維:科學家們希望,如果可以將沒有導致DMD的遺傳缺陷的干細胞輸送到患者的肌肉中,它們可能會產生有效的肌肉纖維來替代患者受損的肌肉纖維。
減少炎癥:在肌營養不良癥中,受損的肌肉變得非常發炎。這種炎癥會加速肌肉退化。科學家認為某些類型的干細胞可能會釋放出減少炎癥的化學物質,從而減緩疾病的進展。
除了干細胞,其他治療策略,如用于修復受損基因的基因療法或小分子藥物,正在患者身上和臨床前模型中進行測試。未來的療法可能會結合使用不止一種這些方法。科學家們還在研究干細胞在維持和修復健康肌肉中的作用,以便更詳細地了解肌肉萎縮癥出了什么問題以及如何糾正該問題。
干細胞當前研究:生產健康的肌肉纖維
目前的許多研究都集中在開發方法來恢復DMD患者肌肉中缺失的抗肌萎縮蛋白的產生。
成血管細胞
成血管細胞 (MAB) 是一種“祖細胞”。MAB存在于血管壁中。研究人員表明,健康的中成血管細胞可以在患有肌營養不良癥的狗和小鼠中形成產生抗肌萎縮蛋白的肌纖維。這種新纖維的形成逆轉肌肉萎縮的程度因動物個體而異。重要的是,MAB可以穿過血管壁,因此可以通過將它們注射到動脈血流中來將它們輸送到身體的所有肌肉。
現已在意大利完成了5名患者的早期1/2期臨床試驗。該試驗表明,在免疫抑制機制下,來自健康供體的 MAB可安全用于治療患有DMD的兒童,但效率最低(這部分與參與試驗的患者病情晚期有關)。研究人員現在正在優化移植程序,轉向使用患者自己的細胞,在實驗室進行基因校正以產生正常的抗肌萎縮蛋白后。幾年后才能得出結果。將來,年輕的患者將接受治療(現在手術的安全性已經確定),這樣剩余的肌肉細胞就不會因疾病的進展而耗盡。
iPS細胞幾乎可以在實驗室中用身體的任何細胞制造并且具有多能性——這意味著它們可以制造身體的任何細胞。最近,研究人員發現了如何將最初從患者皮膚細胞中生長出來的iPS細胞轉變為表現得像健康MAB的細胞。當這些MAB樣細胞被注射到患有肌營養不良癥的小鼠體內時,小鼠會獲得肌肉力量,可以鍛煉更長時間并產生正常的肌肉蛋白質。這是一項非常早期的研究,仍需要大量研究來確定這種治療對人類是否安全有效。
然而,這項研究確實表明,從iPS細胞生長的MAB樣細胞可能有望成為治療不同類型肌營養不良癥的一種方法。由于iPS細胞可以無限復制自己,無限數量的MAB樣細胞可能會從患者自身的皮膚細胞中生長出來,并輸送到血液中。這些細胞在實驗室中更容易生長,而且與供體細胞相比,它們被患者免疫系統排斥的可能性更小。

干細胞治療肌營養不良癥的可能途徑:?中成血管細胞 (MAB) 樣細胞可由 iPS 細胞制成。在最近的一項研究中,將 MAB 樣細胞移植到小鼠體內,取得了一些積極的結果。需要更多的研究來確定該策略是否可以為患者帶來治療。
當前研究:減少炎癥
在肌營養不良癥中,受損的肌肉細胞和免疫系統細胞都會產生炎癥化學物質。這些化學物質會殺死肌肉細胞并使肌肉環境變得惡劣,因此新的肌肉細胞無法生長和存活。科學家們認為他們可以通過減少肌肉炎癥來減緩患者的肌肉萎縮。目前使用類固醇來實現這一目標,但研究人員正在尋找替代解決方案。這些包括:
藥物治療
研究人員正在研究替代抗炎藥或促進肌肉生長的藥物來治療肌營養不良癥。許多臨床試驗目前正在使用大量分子進行,但目前尚無決定性結果。一些新分子,如PTC124(用于修復基因缺陷)在歐洲獲得了市場許可,但結果仍然是非決定性的。類似的情況適用于導致細胞機器跳過阻止抗肌萎縮蛋白合成的突變(外顯子跳躍)的小分子(寡核苷酸)。
現在可以用干細胞治療肌營養不良癥嗎?
目前還沒有針對肌營養不良癥的干細胞療法。研究為未來可能有效的治療提供了一些令人興奮的途徑。仍需要做大量工作來確定這些療法對人類是否安全有效。科學家仍需應對的主要挑戰是:
- 防止移植細胞的免疫排斥
- 輸送血液中的細胞以到達所有受影響的肌肉
- 克服移植細胞的低植入。例如,通過骨髓移植,可以去除病變細胞。在 DMD 中,無法移除患病的肌肉,因此移植的細胞缺乏“空間”來移植。
本資料單由Rachel Gill創建?。由Jan Barfoot編輯。Giulio Cossu于2013年、2016 年和2018年審核?。
Emma Kemp 使用Servier Medical Art制作的肌肉結構主圖和說明 iPS 細胞在肌營養不良癥細胞療法研究中的應用?。Edwin P. Ewing, Jr 博士拍攝的杜氏肌營養不良癥患者的肌肉圖像,由美國衛生與公眾服務部公共衛生圖像庫提供?。Mike Kayser的肌纖維照片?,Wellcome Images。?
從中成血管細胞中生長的肌纖維由 OptiStem 和 Giulio Cossu 提供。
版權聲明:本網站所有注明“來源:杭吉干細胞科技”或“來源:杭吉干細胞科技”的文字、圖片和音視頻資料,版權均屬于杭吉干細胞科技網站所有。非經授權,任何媒體、網站或個人不得轉載,否則將追究法律責任。取得書面授權轉載時,須注明“來源:杭吉干細胞科技”。其它來源的文章系轉載文章,本網所有轉載文章系出于傳遞更多信息之目的,轉載內容不代表本站立場。不希望被轉載的媒體或個人可與我們聯系,我們將立即進行刪除處理。
免責說明:本文僅用于傳播科普知識,分享行業觀點,不構成任何臨床診斷建議!如有版權等疑問,請隨時聯系我。
掃碼添加官方微信