影響腎臟的疾病種類繁多,主要包括以下幾類:
腎臟健康:影響腎臟的疾病有哪些?
慢性腎病 (CKD)

當健康問題影響到腎臟時,它們會導致慢性腎什么是慢性腎病-原因-癥狀有哪些?臟病 (CKD)。這是一種永久性損傷,可能會隨著時間的推移而惡化。如果腎臟受損嚴重,無法正常工作,則稱為腎衰竭或終末期腎病 (ESRD)。治療通常是透析(由機器完成腎臟的正常工作)或移植(從捐贈者那里獲得一個新的健康腎臟)。
糖尿病
這種導致腎衰竭的主要原因會損害器官的小血管和過濾器。這使得它們很難凈化血液。你的身體會保留比應有的更多的鹽和水,你的系統中會有更多的廢物。這種疾病造成的神經損傷會使尿液回流,并通過壓力或感染損害你的腎臟。

神經性厭食癥
患有此病的人對身體形象不切實際,而且他們吃的量不足以保持健康體重。(他們的體重至少比正常體重低 15%)。這會導致體內缺水、電解質和鹽,從而導致慢性腎病,最終導致腎衰竭。對于那些暴飲暴食并通過催吐(嘔吐或使用瀉藥)來消耗熱量的人來說,情況尤其如此。

高血壓
如果流經您身體的血液壓力過高,您的血管(包括腎臟中的血管)就會被拉伸、留下疤痕,甚至變得脆弱。這會阻止它們正常地排出廢物,而血管中的多余液體會進一步升高您的血壓,從而導致危險的循環。可以通過藥物治療以及改變飲食、運動習慣和壓力水平等來治療。

高膽固醇
如果你體內有太多的壞膽固醇,它會在輸送血液進出腎臟的血管中堆積,從而影響腎臟的功能。它還會使你更容易患高血壓和糖尿病。血液測試可以告訴你你的膽固醇水平是否過高。

狼瘡
這是一種使免疫系統攻擊身體某些部位的疾病。當它影響腎臟時,就稱為狼瘡性腎炎。它會導致腎臟中過濾廢物的小血管發炎和結疤,有時也會影響腎臟。可以用不同的藥物治療:有些會影響免疫系統,而有些則有助于控制血壓或消除腫脹和多余液體。

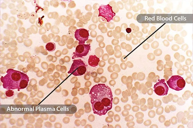
多發性骨髓瘤
這種癌癥與幫助您抵抗感染的白細胞(血漿)有關。癌細胞在骨髓中積聚,在那里它們排擠健康的血細胞并產生可能導致腎臟問題的異常蛋白質。超過一半的多發性骨髓瘤患者最終也會出現腎臟問題。

溶血尿毒癥綜合征
當腎臟和其他器官的小血管受損時,就會發生這種情況。這最終會導致腎衰竭。這種情況發生在腹瀉 5 到 10 天后,通常由感染引起,例如大腸桿菌或某些藥物。如果及時治療,大多數人都會康復。如果您腹瀉數天,小便不頻繁,并且非常疲倦,請去看醫生。您還可能會出現瘀傷或異常出血。

ANCA血管炎
此時,您自身的抗體(通常用于抵抗細菌)會攻擊腎臟和其他器官中的小血管。這可能會導致尿液中出現血液和蛋白質,并可能導致腎衰竭。您可能會發燒、身體疼痛、關節和肌肉疼痛,并出現褐色或茶色尿液。

尿路堵塞
如果你無法小便,這可能意味著尿液被倒流,這會損害你的腎臟。這會對腎臟和身體其他部位造成壓力并導致感染。前列腺肥大、前列腺癌、腎結石、膀胱癌、尿路血栓和結腸癌是導致這種情況的一些原因。如果你小便次數比平時少很多或多很多,或者尿液中有血,請去看醫生。

血栓
許多疾病都會導致血栓,但有一種血液疾病——血栓性血小板減少性紫癜——通常與腎臟問題有關。它會導致微小血管中形成血栓,也會影響大腦和心臟。癥狀包括發燒、鼻子或牙齦出血、腹瀉、胸痛、精神錯亂、頭痛、瘀傷和感覺非常疲倦。如果不及時治療,病情可能會很嚴重,所以如果你有任何這些癥狀,請去看醫生。

硬皮病
這是一組罕見疾病,會使您的皮膚和結締組織變硬變緊。有時它還會損害其他器官,如血管和器官。如果它影響到您的腎臟,并且腎臟無法正常工作,蛋白質就會通過尿液排出。它還會導致血壓突然升高,從而導致快速腎衰竭。

多囊腎
這會導致腎臟內長出囊腫(通常充滿液體的小瘡)。這會使囊腫比正常大小大得多,并損害腎臟組織。這是由您從父母一方遺傳的問題基因引起的。如果不及時診斷和治療,可能會導致慢性腎病,并最終導致終末期腎病。

參考資料:
圖片提供者:
- KATERYNA KON/科學來源
- AndreyPopov/蓋蒂圖片社
- 卡塔齊娜·比亞拉西維奇/蓋蒂圖片社
- zencreation/蓋蒂圖片社
- 克里斯托夫·伯格施泰特/蓋蒂圖片社
- 法國國家科研中心/科學來源
- 法國國家科研中心/科學來源
- iLexx/蓋蒂圖片社
- 卡羅爾沃納/醫學圖像
- R.SPENCER PHIPPEN/醫學圖像
- SCIEPRO/科學之源
- SPL/科學來源
- PDSN/醫學圖像
參考:
免責說明:本文僅用于傳播科普知識,分享行業觀點,不構成任何臨床診斷建議!杭吉干細胞所發布的信息不能替代醫生或藥劑師的專業建議。如有版權等疑問,請隨時聯系我。
- 美國腎臟病雜志:“神經性厭食癥和腎臟。”
- 美國腎臟基金會:“多囊腎病”、“腎衰竭/ESRD”、“慢性腎病 (CKD)”、“腎臟疾病”。
- 梅奧診所:“酒精濫用障礙”、“血管炎”、“多發性骨髓瘤”、“溶血性尿毒癥綜合征 (HUS)”、“急性腎衰竭”。
- 多發性骨髓瘤研究基金會:“腎功能下降”。
- 美國國立衛生研究院:“什么是血栓性血小板減少性紫癜?”“高血壓與腎臟疾病”、“糖尿病腎臟疾病”。
- 美國國家腎臟基金會:“酒精與您的腎臟”、“狼瘡與腎臟疾病(狼瘡性腎炎)”、“膽固醇與慢性腎臟疾病”、“糖尿病——腎臟疾病的主要風險因素”、“腎小球腎炎”。
- 血栓性血小板減少性紫癜基金會:“TTP 概述”。
- 北卡羅來納大學醫學院:“ANCA 血管炎。”
掃碼添加官方微信