中風(中風)
中風(中風)是一種醫療緊急情況。它涉及對大腦的突然血管損傷,必須立即治療。
請閱讀本文中有關中風的更多信息:中風期間會發生什么?癥狀、后果和治療方案是什么?有哪些康復方案可供選擇?以及更多…
目錄
- 什么是中風?
- 癥狀
- 識別中風
- 急救
- 診斷
- 原因
- 治療/急性治療
- 風險因素
- 結果
- 復原
- 預防
什么是中風?

中風 是由于大腦出血或血液供應有限(缺血)而導致的突然腦損傷。
中風是一種突發性腦損傷,伴有嚴重頭痛、癱瘓、頭暈或言語障礙等癥狀。它是由循環障礙引起的。這可能是由于缺血(腦梗死)或出血(腦出血)。
由于中風每年影響全球1690萬人的新病例(發病率),導致1.02億人健康壽命損失,因為90%的受影響者會受到限制。
中風的癥狀
相應的癥狀取決于中風的部位和嚴重程度。癥狀通常伴有嚴重的、非特異性的惡心和頭痛。如果突然出現其中一種或多種癥狀,迅速采取行動至關重要:
- 一側癱瘓或輕癱(偏癱或偏癱):例如身體的一側、一只手臂或一條腿、半張臉:面神經麻痹 – 例如嘴角下垂
- 一側麻木(感覺障礙)
- 協調障礙
- 語言或言語障礙(失語癥或構音障礙):例如言語不清、找詞困難、喪失說話能力
- 視力問題或失明(例如視力受限、復視)
- 頭暈、惡心、平衡障礙
- 吞咽困難(吞咽困難)
- 意識不清、意識混亂或其他認知障礙
- 半側空間忽視
- ETC。
如何識別中風?

在出現中風的最初跡象時,FAST測試可能有助于盡快識別癥狀。
中風可能會引起多種癥狀,這些癥狀可能以不同的組合出現。因此,外行人常常無法判斷是否是中風。FAST 測試對于疑似中風的情況很有幫助,因此應由急救人員進行。
FAST——疑似中風時的快速檢測?
F-臉:要求受影響的人微笑。您能檢測到一側面部麻痹嗎?
A-手臂:要求患者閉上眼睛,然后同時將雙臂向前伸展,同時將手掌向上。(如果發生癱瘓,患者將無法抬起一只手臂,或者手臂會下垂或扭曲。)
S-言語:要求對方重復一個簡單的句子。(如果有言語障礙,這將不可能或很困難;如果有言語障礙,發音就會含糊不清。)
T-時間:如果出現任何這些癥狀,請立即致電緊急服務部門。借助這種快速測試可以檢測到許多中風。通知緊急服務部門您懷疑中風。
中風的警告信號
在短暫性腦缺血發作 (TIA) 期間,一種或多種癥狀通常僅出現幾分鐘,然后消失,不會造成永久性損傷。這使得認真對待這一警告信號并澄清其原因變得更加重要。這可以防止可能的中風。第一次中風并不總是 TIA 或輕微中風。較大的血管閉塞也是可能的。在這種情況下,警告信號也可能是一只眼睛暫時突然失明(一過性黑蒙)。
中風急救——緊急情況下應該做什么?
“時間就是大腦!”
如果您懷疑中風,請立即撥打緊急服務電話(120)并進行FAST測試。請認真回答應急控制中心的提問,并簡要說明情況:?
- 受影響的人有什么癥狀?
- 癥狀是什么時候開始出現的?
- 癥狀是如何發展的?
- 患者服用什么藥物?(特別是,他們服用血液稀釋劑嗎?)
緊急控制中心可能會根據情況向您發出不同的指示,例如:
- 上半身抬起30°
- 如果該人失去知覺,請將他/她置于恢復位置
- ETC。
重要提示:不要讓受影響的人獨自一人并讓他/她平靜下來。不要給受影響的人吃或喝任何東西(吞咽障礙),并且未經授權不要服用血液稀釋劑(阿司匹林等)。
除了嚴重頭痛和惡心外,中風時還會出現多種癥狀,例如手臂或腿部無力、麻木、頭暈、語言障礙或嘴角下垂。如果您懷疑中風,請立即通知緊急服務部門!
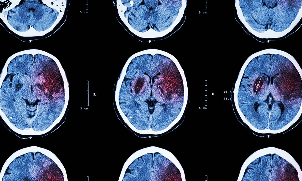
診斷:中風
一旦急救人員通知緊急服務部門,必須盡快將受影響的人送往專門醫院,最好是配備中風病房的醫院。這對于確保開始專業中風治療非常重要。立即就醫可以增加挽救受影響人員生命的機會,并可以防止永久性殘疾和無法彌補的損害。
為了確保有針對性的治療,有必要確定患者是否患有血流量減少或腦出血。這通常通過成像技術來完成,例如大腦的計算機斷層掃描 (CT) 和/或磁共振成像 (MRI)。
中風是輕度還是重度?
美國國立衛生研究院中風量表 (NIHSS) 用于臨床評估中風的嚴重程度。除了影像技術之外,NIHSS也是確定急性治療和后續記錄的重要參數。該量表評估各種癥狀的程度。總分低表示輕度中風,而較高分表示重度中風。
中風的原因
中風期間,大腦的血液供應受損。根據中風的持續時間和程度,受影響區域的細胞可能會受損甚至死亡。根據中風的嚴重程度和部位,它可能會導致功能障礙甚至死亡。
中風的具體病因有哪些?
血流量減少(缺血性中風、腦梗塞)
供應大腦的血管閉塞意味著大腦的某些部分不再得到適當的血液供應。這可能是由于血管鈣化(動脈粥樣硬化)、血栓(在心臟中形成并到達大腦的血栓)或血管炎癥所致。這種形式出現在大約80%的病例中。

腦出血(出血性中風)
腦出血涉及血液流入周圍的腦組織。由此產生的壓力可能會對未受影響的大腦區域造成額外的損害。這種腦內或腦外出血可能是由高血壓(高血壓)、凝血障礙、血管炎癥(血管炎)、腫瘤或血液稀釋劑(抗凝劑)不當的藥物治療引起的。

中風會破壞大腦的血液供應(由于血流量減少或腦出血)。除臨床神經學檢查外,還通過影像技術(CT、MRI)進行診斷。
中風的治療/急性治療
盡快改善血液循環(或止血)以盡量減少損害至關重要,即使在邊境地區也是如此,因為“時間就是大腦”。疑似中風應盡快診斷,以便立即開始有針對性的治療。根據嚴重程度、原因和時間窗口,有多種治療方案。
- 如果腦血管被血凝塊堵塞(血流量減少),通常會采用藥物溶栓治療來溶解血凝塊。另一種選擇是血栓切除術,即通過導管吸出血凝塊。
- 如果發生腦出血,首要任務是止血。此外,過高的血壓通常必須通過藥物來降低。如果大量血液滲漏到周圍腦組織中,則可能需要進行手術。
中風的治療方法因患者而異,必須由患者的醫生單獨評估。治療危險因素也很重要。下面的文字提供了有關潛在風險因素的更多信息。
中風的危險因素
中風的危險因素有多種,只有其中一些會受到影響。如果其中一些癥狀適用于您(高血壓、高膽固醇血癥等),請勿嘗試自行治療。就醫。
什么會增加中風的風險?
- 老年
- 遺傳傾向(家族史)
- 既往中風病史
- 動脈硬化:高膽固醇、糖尿病、高血壓和吸煙會加劇動脈硬化。
- 心臟病(心房顫動、心臟瓣膜疾病等)
- 卵圓孔未閉 (PFO)
- 缺乏運動、嚴重肥胖、飲食不健康
- 壓力
- 大量飲酒
- 避孕藥
- ETC。
中風的后果

根據中風的位置和程度,中風可能會產生不同的后果。
根據世界中風組織的數據,中風是全世界長期殘疾的主要原因之一。
中風可能會產生不同嚴重程度的后果,并可能對受影響者的生活造成不同的損害,具體取決于哪些大腦區域受到血流量減少或腦出血的影響、持續時間、程度以及影響程度。初始癥狀的嚴重程度。
康復的機會
一般來說,癥狀會因身體的自愈過程(自發緩解)和訓練而改善。改善的程度取決于各種因素,必須針對每個患者單獨考慮。
病人要住院多久?
在急癥護理醫院的平均住院時間約為。2周。然后,受影響的人可能會被轉介到康復診所或可能被允許回家(有或沒有門診治療)。
預期壽命
在這方面,每個人也必須單獨考慮。如果病因得到治療并且危險因素得到糾正,沒有殘留癥狀的年輕人往往預后良好。相反,如果找不到原因和/或未解決風險因素,風險就會增加。然而,隨著醫療水平的提高,死亡率多年來普遍下降。
血液循環越早改善(或止血),中風后的繼發性損害就越有可能最小化。急性治療可以是藥物治療或手術治療。
中風后康復
世界中風組織通過其“六分之一”運動 說明了當前的情況:每六秒,一個人的生活質量就會發生永久性改變。中風后,他或她將面臨永久性的身體殘疾/限制。為了降低中風后造成永久性身體損傷的風險,受影響的人應盡快接受適當的醫療以及充分的治療和康復。
腦損傷的后果是廣泛的(中風癥狀),需要個體化治療。各種康復措施可以使受損的身體功能完全或部分恢復。一方面,通過功能補償,另一方面,通過大腦的結構和功能變化(神經可塑性),這成為可能。
康復目標
康復的目標是使受影響的人恢復獨立和自主生活所需的技能。這包括日常生活的基本活動,以及參與社交和職業生活。
在某些情況下,康復只能減少由于中風嚴重程度而導致的依賴性和不適。受影響的人在日常生活中常常需要支持。重要的是要識別挑戰并找到克服它們的方法,并在必要時使用適當的輔助工具或其他治療措施。?
早期康復-長期康復
越早開始適當的康復(=恢復),治療的成功就越好。因此,早期康復應該在醫院開始。多學科、協調一致的治療師團隊可以在早期階段對患者進行護理、增加活動能力的練習以及言語和吞咽練習等激活措施。在當今的治療中,日常生活活動(ADL)通常是根據運動學習過程的原則進行練習,以逐步恢復獨立生活。

定期和長期應用的康復措施類型取決于限制的類型。
在大多數情況下,個性化定制的治療計劃包括來自一系列專業領域(物理治療、職業治療、言語治療、生物反饋、干細胞治療、電刺激等)的許多不同的治療程序。
運動學習
運動學習的重點是受傷后運動技能的恢復。沒有需要遵循的框架,但我們知道某些因素對學習過程有重大影響,從而對長期治療的成功產生重大影響。學習過程的以下幾個方面具有重要意義:
- 積極鍛煉
- 以目標和日常活動為導向的行動
- 隨機選擇活動
- 練習的可變性
- 最優反饋
- 塑造
- 重復
- 動機
- 豐富的環境
建議的治療頻率為5個單位,每周鍛煉30-45分鐘。
中風后的康復應盡早開始,并應根據患者的具體情況進行調整。定期采取不同的措施以及親屬和護理人員提供的支持有助于治療的成功。
中風后康復可能的治療選擇有哪些?
除其他外,以下治療方案可能有助于改善運動功能缺陷和活動:

中風后的物理治療

中風后的職業治療
理療
物理治療師根據現有的功能缺陷和故障制定個性化的治療計劃。重新學習動作或替代補償策略以及輔助工具的使用有助于再次獨立掌握日常生活的能力。
在這里進行定期鍛煉,以改善平衡、協調、身體意識和痙攣(增加肌肉張力)以及肌肉鍛煉和耐力訓練。目標是維持或改善患者的活動能力,使他們能夠在日常生活中恢復最佳水平的身體獨立性。親戚經常參與物理治療。?
職業治療
職業治療師幫助患者使用日常相關的輔助工具,以彌補與殘疾相關的限制。他們教患者進行運動功能活動和實際任務(例如洗澡、穿衣、購物),旨在鼓勵患者自己進行活動。
受影響的人應該在日常生活中恢復最大程度的獨立。職業治療師還向親屬提供建議,并就如何支持受影響的人提供指導和幫助。
言語治療
言語障礙和吞咽困難可以在言語治療師的幫助下得到治療。言語治療有助于提高受影響者的溝通技巧、言語質量、發音清晰度和獨立飲食。
治療還側重于面部肌肉麻痹(面神經麻痹)。治療根據個體患者的缺陷進行調整。還向親屬提供有關如何處理這些疾病的信息。


生物反饋
活動障礙可以通過生物反饋來治療。電子醫療設備使用視覺和聽覺信號將動作報告給受影響的人。這有助于用戶了解他/她的動作。其結果是在癱瘓(輕癱)?的情況下對受影響的肌肉的運動或有意識的緊張進行認知重新學習。
以癥狀為導向的生物反饋訓練可與肌肉控制電療相結合,是一種有效的治療工具,可用于補充神經損傷的治療。患者可以在康復過程中應用它,也可以在康復后作為控制性家庭治療。?
干細胞治療
干細胞具有再生各種細胞、組織、器官的潛能,在一定條件下可以誘導分化成人體所需的細胞,比如中風病人所需的神經細胞。此外,干細胞還具有強大的旁分泌和免疫調節作用,能夠分泌多種營養因子修復神經細胞,調節炎癥反應。

因此,干細胞療法依靠細胞替代和調節細胞因子分泌量兩個主要思路對腦中風進行治療。
(一)細胞替代/移植
假設腦中風是一場發生在人腦中的戰役,在這場戰役中有的細胞不幸殞命“戰死(壞死) ”,有的細胞成了“殘兵( 受損) ”,他們都不能再堅守崗位發揮本職作用。
而細胞替代/移植即利用干細胞的多向分化能力,人工誘導產生新的“兵源(新細胞) ”,替代殘兵補上空缺,為戰役增加助力,以期能戰勝疾病,已在多個實驗證明干細胞可發揮此作用,且部分已有臨床嘗試。
2019年,我國解放軍總醫院在《干細胞轉化醫學》(Stem Cells Translational Medicine)雜志上公布,神經干細胞移植有助于腦卒中偏癱患者運動功能的恢復。9名年齡在30至65歲之間的偏癱患者參與了這項臨床研究,他們在中風后5-24個月接受人源神經干細胞NSI-566腦內移植,NSI-566被移植至腦內梗塞灶附近。影像學研究的結果表明,干細胞植入區出現了新的神經組織,這也證明了了人源神經干細胞NSI-566治療偏癱性腦卒中擁有一定的臨床益處。
(二)調節多種細胞因子分泌
1)釋放神經營養因子。移植入體內的神經干細胞會向受損區域遷移、分化,并分泌神經營養因子。神經營養因子作用于神經元細胞體,促進神經反射活動的恢復,如學習、記憶等功能恢復。
2)抑制神經細胞凋亡。半胱氨酸天冬氨酸蛋白酶( caspase-3) 是一種能促進細胞凋亡的蛋白酶,可用來評估神經細胞凋亡情況。干細胞移植可降低caspase-3 的表達,由此抑制神經細胞的凋亡。
2021年6月14日,《干細胞轉化醫學》發表的一項美國Ochsner-LSU健康科學中心的臨床研究報告顯示,干細胞強大的旁分泌功能對腦神經具有良好的保護作用,能減輕腦卒中后損傷和改善神經功能障礙。
2020年2月,我國治療缺血性腦卒中的干細胞新藥(缺血耐受人同種異體骨髓間充質干細胞)申請獲得臨床試驗默示許可。
目前,全球已開展大量采用干細胞療法治療中風的臨床研究。干細胞移植治療腦中風能有效改善患者的神經功能缺損,提高患者自主行為能力和肢體運動功能,為腦中風治療提供了新選擇。
電療
除了傳統的運動療法之外,功能性電刺激最適合用于中風后的康復,以重新學習日常功能。急性治療完成后,診所即可開始電療。然后,作為特定治療計劃的一部分,應在門診或住院患者的基礎上在較長時間內定期使用。
在醫生/物理治療師向患者介紹如何使用這些設備后,患者還可以租用一些電療設備進行家庭治療。因此,電療可以應用于神經康復的所有階段。多項研究已證明電療的有效性。
電療對中風后有何幫助?
如果相應的大腦區域或神經細胞受損,中風可能會中斷從大腦通過脊髓和神經通路到肌肉的信號傳輸。結果,受影響的肌肉不會受到刺激或較少受到刺激,并且肌肉質量減少(肌肉萎縮)。電療可能有助于在治療開始時增強松弛的肌肉。借助肌電圖觸發的多通道電刺激 (EMG MES) 和生物反饋,可以重新學習運動序列。為了使治療成功,應該經常練習和重復有針對性的和可重復的功能。
電刺激可用于中風后神經康復的各個階段。它可以增強肌肉并訓練日常功能。
預防:中風
如何降低(再次)中風的風險?
最大限度地減少危險因素并找出并糾正中風的原因至關重要。中風的危險因素有多種,只有其中一些可以直接受到影響。如果其中一些癥狀適用于您(高血壓、高膽固醇血癥等),請勿嘗試自行治療,而應尋求醫療建議!一般來說,積極的生活、大量的鍛煉和健康的飲食是有益的。定期去看醫生將幫助您及時意識到可能的疾病并采取正確的措施。
參考資料:
Donnan, G. A., Fisher, M., Macleod, M., Davis, S. M. (2008). Stroke. The Lancet, 371 (9624), 1612-1623.
Feigin, V. L., Forouzanfar, M. H., Krishnamurthi, R., Mensah, G. A., Connor, M., Bennett, D. A., … & O’Donnell, M. (2014). Global and regional burden of stroke during 1990–2010: findings from the Global Burden of Disease Study 2010. The Lancet, 383(9913), 245-255.
Hauptmann, B. & Müller, C. (2011). Motorisches Lernen und repetitives Training. In: Nowak, D. (Hrsg.) Handfunktionsst?rungen in der Neurologie. Berlin Heidelberg: Springer Verlag, 214-223.
Lang, C. E., MacDonald, J. R., & Gnip, C. (2007). Counting repetitions: an observational study of outpatient therapy for people with hemiparesis post-stroke. Journal of Neurologic Physical Therapy, 31(1), 3-10.
Lang, C. E., MacDonald, J. R., Reisman, D. S., Boyd, L., Kimberley, T. J., Schindler-Ivens, S. M., … & Scheets, P. L. (2009). Observation of amounts of movement practice provided during stroke rehabilitation. Archives of physical medicine and rehabilitation, 90(10), 1692-1698.
Mehrholz, J. (2008). Frühphase Schlaganfall. (1. Aufl.). Stuttgart: Georg Thieme Verlag.
Mulder, T. (2007). Das adaptive Gehirn. Stuttgart: Georg Thieme Verlag.
Platz, T. (2011). Rehabilitative Therapie bei Arml?hmungen nach einem Schlaganfall. Patientenversion der Deutschen Gesellschaft für Neurorehabilitation. Bad Honnef: Hippocampus Verlag.
Rohkamm, R. (2009). Taschenatlas Neurologie. (3. Aufl.). Stuttgart: Georg Thieme Verlag.
Williams, G. R., Jiang, J. G., Matchar, D. B., & Samsa, G. P. (1999). Incidence and occurrence of total (first-ever and recurrent) stroke. Stroke, 30(12), 2523-2528.
Woldag, H. (2011). Shaping. In: Nowak, D. (Hrsg.) Handfunktionsst?rungen in der Neurologie. Berlin Heidelberg: Springer Verlag, 223-224.
Wulf, D. (2010). Motorisches Lernen. In: Hüter-Becker, A., D?lken, M. (Hrsg.). Physiotherapie in der Neurologie. (3.Aufl.). Stuttgart: Georg Thieme Verlag, 41-72.
免責說明:本文僅用于傳播科普知識,分享行業觀點,不構成任何臨床診斷建議!杭吉干細胞所發布的信息不能替代醫生或藥劑師的專業建議。如有版權等疑問,請隨時聯系我。
掃碼添加官方微信